Zakład Radiologii Pediatrycznej

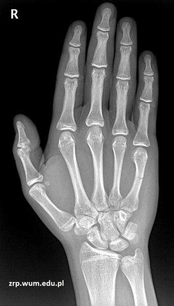
16-latek po urazie śródręcza prawego

Przypadek 61: 16-latek po urazie śródręcza prawego - przypadkowe uderzenie w słup.

Rozpoznanie: Złamanie środkowej części trzonu 5-ej kości śródręcza, z ugięciem odłamu dystalnego.