Zakład Radiologii Pediatrycznej

3-latek po urazie przedramienia prawego - kontrola po zdjęciu gipsu

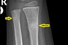
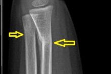
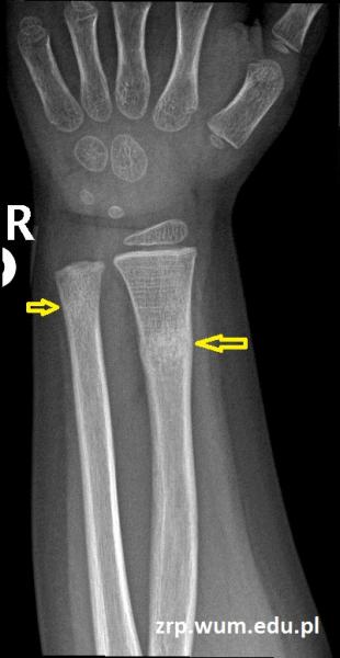
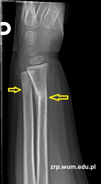
Przypadek 60: 3-latek po złamaniu przynasad dalszych obu kości przedramienia prawego. Badanie kontrolne po zdjęciu gipsu (4 tyg. po urazie).

Rozpoznanie: Na zdjęciach RTG widoczne nawarstwienia okostnowe / odczyny naprawcze w miejscu złamania prawej kości promieniowej, z jej niewielkim kątowym ustawieniem. Niewielkie nawarstwienia okostnowe w okolicy złamania prawej kości łokciowej.