Zakład Radiologii Pediatrycznej

2-letnia dziewczynka z podejrzeniem połknięcia ciała obcego

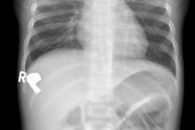
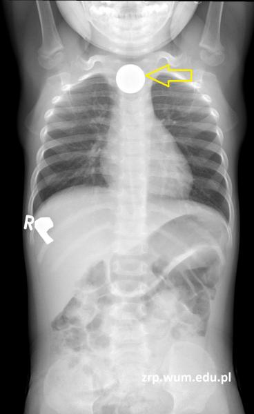
Przypadek 57: 2-letnia dziewczynka z podejrzeniem ciała obcego w przewodzie pokarmowym - moneta 5 zł.

Rozpoznanie: Wykonano badanie RTG klatki piersiowej i jamy brzusznej - uwidoczniono okrągłe cieniujące ciało obce średnicy ok. 25 mm, rzutujące się na wysokości trzonów kręgów C7-Th2 (żółta strzałka).