Zakład Radiologii Pediatrycznej

16-letni chłopiec z podejrzeniem guza śródpiersia górnego

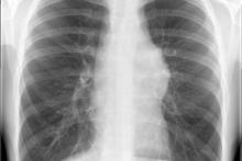
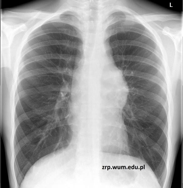
Przypadek 55: 16-letni chłopiec z podejrzeniem guza śródpiersia górnego, wykrytego w kontrolnym badaniu echokardiograficznym.

Rozpoznanie: Na zdjęciu RTG klatki piersiowej stwierdzono poszerzenie cienia śródpiersia po stronie lewej, w rzucie lewej wnęki. W trakcie dalszej diagnostyki rozpoznano chłoniaka.