Zakład Radiologii Pediatrycznej

4-letni pacjent obserwowany w kierunku choroby układowej

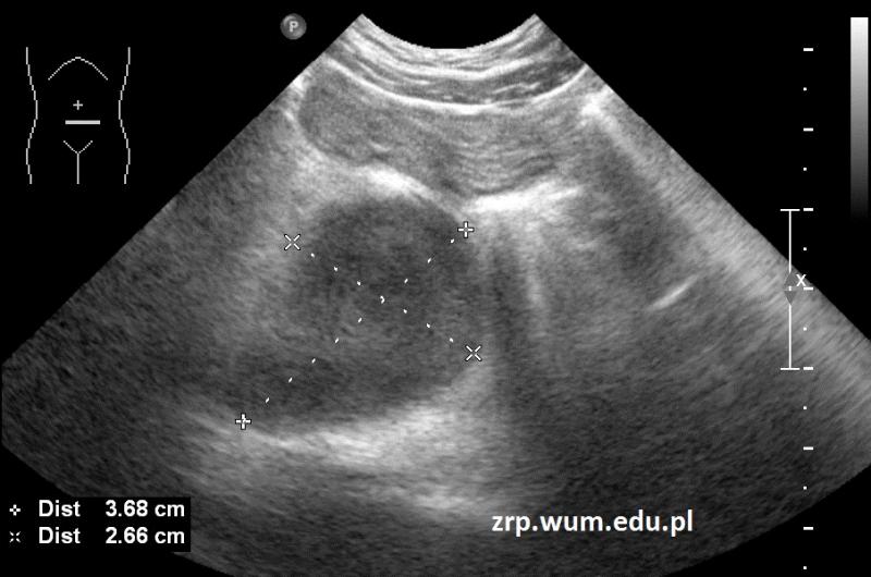
Przypadek 53: 4-letni pacjent obserwowany w kierunku choroby układowej, z obrzękiem i bólem kolana prawego, ze stanami podgorączkowymi utrzymującymi się od miesiąca.

Rozpoznanie: W badaniu USG w śródbrzuszu, pod pępkiem, uwidoczniono dwie hipoechogenne owalne zmiany, o wym. 37x27x22mm i 13x12mm, na tej podstawie wysunięto podejrzenie chłoniaka. Potwierdzono rozpoznanie chłoniaka Burkitta