Zakład Radiologii Pediatrycznej

3-letni pacjent z podejrzeniem zapalenia stawu biodrowego

Przypadek 51: 3-letni chłopiec zgłosił się do IP z powodu utykania na prawą nóżkę od dnia poprzedniego; infekcja gdo w ostatnim czasie. Wysunięto podejrzenie coxitis fugax.

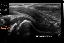
Rozpoznanie: W badaniu USG uwidoczniono spłaszczenie i nerówny zarys nasady głowy kości udowej prawej (pomarańczowa strzałka) - cechy ch. Perthesa. W wywiadzie - chłopiec miał kilka epizodów utykania w ciągu ostatnich kilku miesięcy. Dla porównania - prawidłowa głowa kości udowej lewej (zielona strzałka).

Pytanie: Jakie cechy pozwalają odróżnić chorobę Perthesa od zwiewnego zapalenia stawu biodrowego?