Zakład Radiologii Pediatrycznej

2-miesięczny chłopiec z przepukliną pachwinową lewostronną

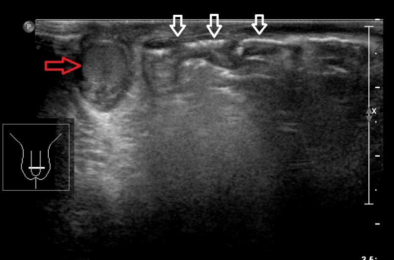
Przypadek 50: 2-miesięczny chłopiec zgłosił się na badanie usg z podejrzeniem przepukliny pachwinowej lewostronnej.

Rozpoznanie: W badaniu usg - uwidoczniono przepuklinę pachwinowę lewostronną - w kanale pachwinowym i w mosznie po stronie lewej widoczne pętle jelitowe (białe strzałki), z zachowaną perystaltyką. Oba jądra widoczne w mosznie, o prawidłowej strukturze i wielkości (czerwona strzałka - jądro prawe, pomarańczowa strzałka - jądro lewe, widoczne poniżej pętli jelitowych).

Pytanie: Wymień przyczyny powiększenia moszny u noworodków i niemowląt.