Zakład Radiologii Pediatrycznej

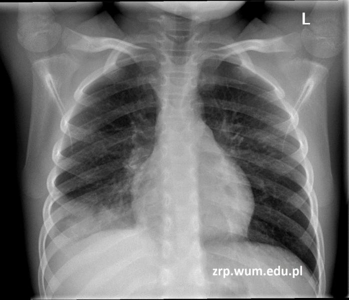
8-letnia dziewczynka z gorączką i klinicznym podejrzeniem zapalenia płuc

Przypadek 49: 8-letnia dziewczynka z gorączką i klinicznym podejrzeniem zapalenia płuc.

Rozpoznanie: na zdjęciu RTG klatki piersiowej stwierdzono zagęszczenia miąższowe u podstawy płuca prawego oraz niewielką ilość płynu w zachyłku przeponowo-żebrowym prawej jamy opłucnowej.