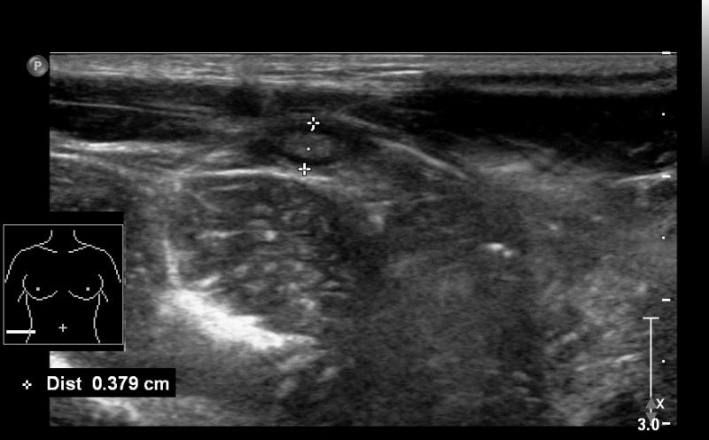
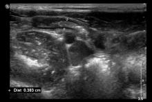
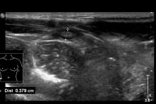
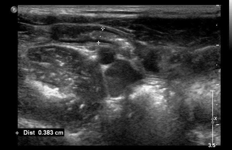
Przypadek 48: 8-letni pacjent z bólami brzucha Rozpoznanie: W badaniu usg uwidoczniono prawidłowy wyrostek robaczkowy (zaznaczony markerami).