Zakład Radiologii Pediatrycznej

5-letnia dziewczynka po urazie okolicy oczodołu lewego

Przypadek 47: 5-letnia dziewczynka po urazie okolicy oczodołu lewego, obrzęk okolicy policzka lewego. Bez utraty przytomności, bez wymiotów. Podsypiająca.

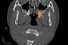
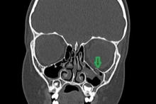
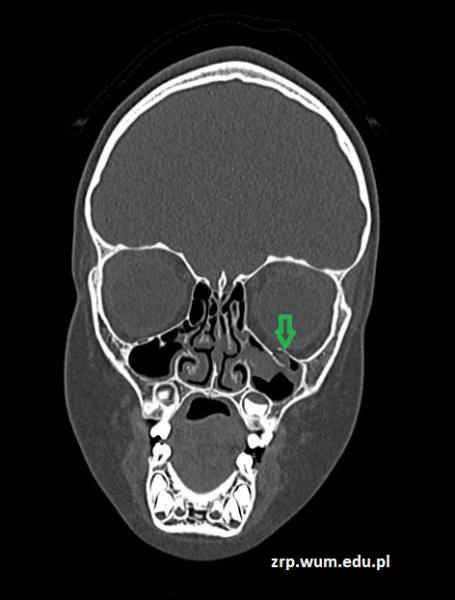
Rozpoznanie: W badaniu TK stwierdzono złamanie dolnej ściany oczodołu lewego (zielona strzałka) z płynem w lewej zatoce szczękowej (pomarańczowa strzałka).

Pytanie: Jakie są wskazania - po urazie twarzoczaszki - do wykonania zdjęcia rentgenowskiego lub Tomografii Komputerowej?