Zakład Radiologii Pediatrycznej

Dziewczynka w 1. m-cu życia po operacji kardiochirurgicznej

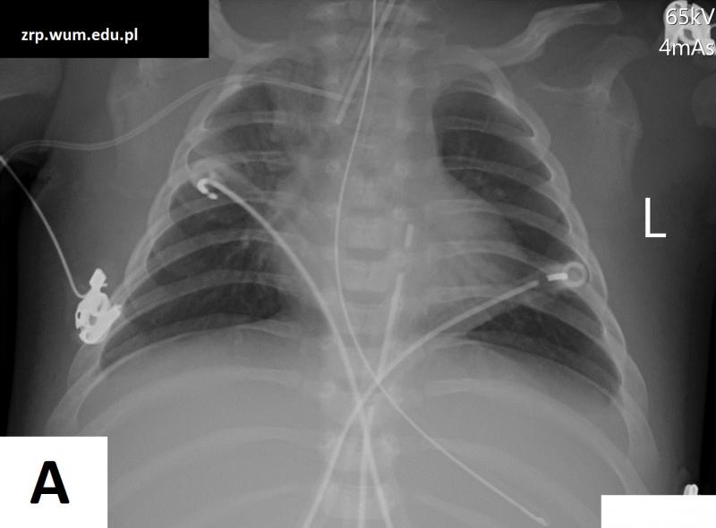
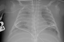
Przypadek 46: Dziewczynka w 1. m-cu życia po operacji kardiochirurgicznej (Tetralogia Fallota), ze znacznym pogorszeniem stanu klinicznego w ciągu kilku godzin.

Rozpoznanie: Wykonano zdjęcia RTG klatki piersiowej w odstępie kilku godzin (wyjściowe - A, i kontrolne - B) - w badaniu kontrolnym znaczne pogorszenie powietrzności płuc - masywne zagęszczenia miąższowe -obraz przemawia za obrzękiem płuc.
Case 46b
Pytanie: Jak różnicuje się obrzęk płuc i zapalenie płuc? Nazwij dreny, cewniki, sondy widoczne na zdjęciach.