Zakład Radiologii Pediatrycznej

2-letni chłopiec z zapaleniem węzłów chłonnych szyi

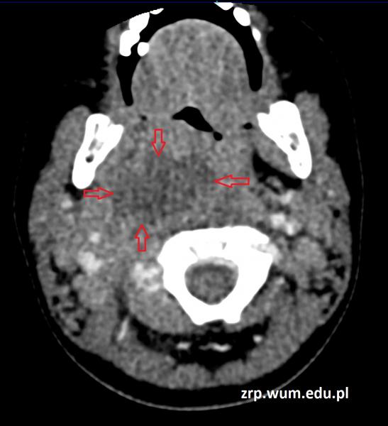
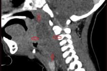
Przypadek 45: 2-letni chłopiec zgłosił się do IP z gorączką i apatią od 5 dni oraz zapaleniem węzłów chłonnych szyi. W badaniu przedmiotowym stwierdzono przesunięcie bocznej ściany gardła po stronie prawej, szczękościsk, przymusowe ustawienie głowy. Wysunięto podejrzenie nacieku zapalnego przestrzeni przygardłowej po stronie prawej. Wykonano TK szyi w celu wykluczenia ropnia pozagardłowego.

Rozpoznanie: W badaniu tomografii komputerowej w przestrzeni za- i przygardłowej po stronie prawej widoczny jest neregularny obszar płynowy - ropień (strzałki) - zmiana przemieszcza i modeluje naczynia szyjne, gardło dolne, krtań i przełyk.