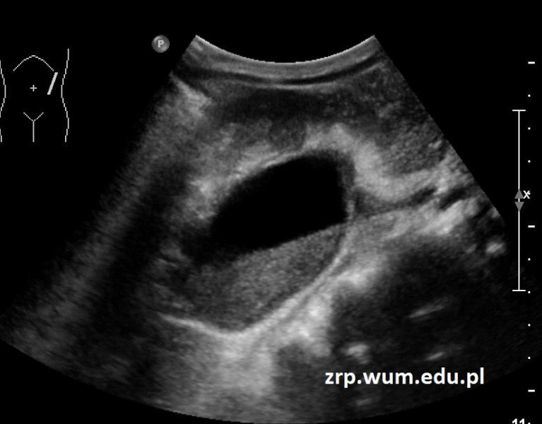
Przypadek 39: 6-letnia dziewczynka przyjęta do Szpitala z powodu powikłanego ostrego odmiedniczkowego zapalenia nerek. W badaniach moczu - ropomocz.
Rozpoznanie: W badaniu USG uwidoczniono roponercze nerki lewej - poszerzony UKM, wypełniony echogenną gęstą treścią (na zdjęciu widoczny poziom gęstej treści w poszerzonej miedniczce).