Zakład Radiologii Pediatrycznej

4-letni chłopiec z apatią i narastaniem obwodu brzucha

Przypadek 38: 4-letni chłopiec został przyjęty do Szpitala z powodu podejrzenia rozsianego procesu nowotworowego. W wywiadzie od 2-3 miesięcy narastające osłabienie i apatia dziecka, brak apetytu, narastanie obwodu brzucha. Od ok. miesiąca narastająca bladość.

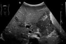
Rozpoznanie: W badaniu USG uwidoczniono w jamie brzusznej rozległe masy guzowate (pomiary między kursorami). Skierowany do dalszej diagnostyki.
Case 38b

Pytanie: Jakie dane z wywiadu i jakie nieprawidłowości stwierdzone w badaniu klinicznym powinny nasuwać podejrzenie procesu nowotworowego? Jakie badanie obrazowe powinno być wykonywane rutynowo przy tego typu podejrzeniach?