Zakład Radiologii Pediatrycznej

7-miesięczna dziewczynka skierowana do IP z powodu podejrzenia guza jamy brzusznej

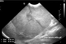
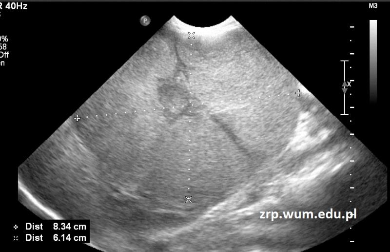
Przypadek 36: 7-miesięczna dziewczynka skierowana do IP z powodu podejrzenia guza jamy brzusznej, stwierdzonego podczas rutynowego badania przedmiotowego w trakcie wizyty kontrolnej przed szczepieniem.

Rozpoznanie: W badaniu USG uwidoczniono kulistego kształtu, dobrze odgraniczoną od otoczenia litą zmianę guzowatą, wyrastającą z dolnej części nerki prawej.

Pytanie: Jakie nowotwory należy rozważyć w diagnostyce różnicowej guza okolicy nerki u dziecka?