Zakład Radiologii Pediatrycznej

5-letni chłopiec po złamaniu obojczyka prawego. Po zdjęciu gipsu obrzęk okolicy prawego dołu podobojczykowego

Przypadek 34: 5-letni chłopiec po złamaniu obojczyka prawego. Po zdjęciu gipsu w badaniu przedmiotowym wyczuwalny guz/torbiel w okolicy dołu podobojczykowego prawego.

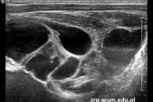
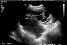
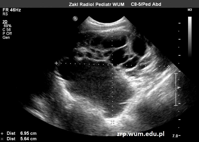
Rozpoznanie: Kontrolne RTG nie wykazało zmian. W badaniu USG uwidoczniono wielokomorową zmianę torbielowatą, z przegrodami, o łącznych wymiarach ok.70x56x55mm; zmiana widoczna w dole pachowym prawym, sięga przedniej okolicy barkowej. Dwufazowa zawartość niektórych z komór zmiany.

Obraz USG odpowiada naczyniakowi limfatycznemu. Zmiana najpewniej była obecna już wcześniej, uległa powiększeniu po urazie.