Zakład Radiologii Pediatrycznej

Dziewczynka w 1. dobie życia z guzem nadnercza lewego i licznymi meta w wątrobie

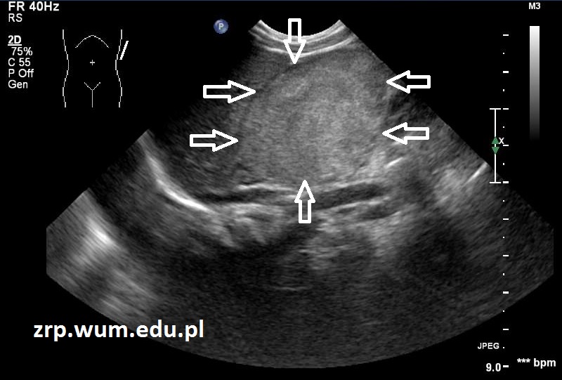
Przypadek 32: Dziewczynka w 1. dobie życia, w badaniu USG po urodzeniu stwierdzono guz wywodzący się z nadnercza lewego oraz liczne ogniska meta w wątrobie.

Rozpoznanie: W badaniu USG uwidoczniono niejednorodny guz ze zwapnieniami, o wym. 47x28mm, wywodzący się z dystalnej części odnogi nadnercza, pozostała część nadnercza prawidłowa. W dalszej diagnostyce potwierdzono neuroblastoma.

Wątroba znacznie powiększona, w całości o nieprawidłowej strukturze, z bardzo licznymi zmianami ogniskowymi o charakterze meta.

(guz - białe strzałki; nadnercze – czarna strzałka; nerka – czerwona strzałka; meta w wątrobie - kilka zmian oznaczono pomarańczowymi strzałkami).