Jesteś tutaj
Studenckie Forum Radiologii Pediatrycznej - 4-letnia dziewczynka z bólami brzucha
Przypadek 54: 4-letnia dziewczynka zgłosiła się do IP z powodu bólu brzucha i wymiotów. Wysunięto podejrzenie zapalenia wyrostka robaczkowego. 
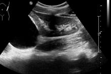
Rozpoznanie: W badaniu USG uwidoczniono wgłobienie krętniczo-kątnicze (białe strzałki).
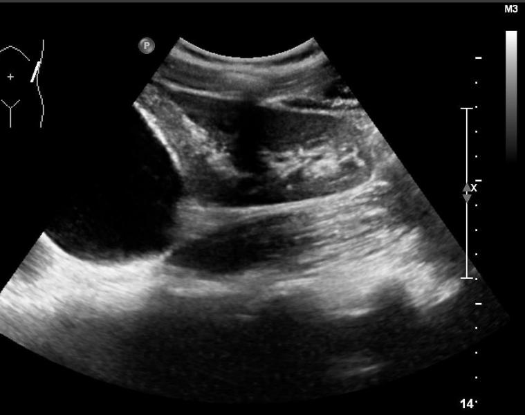
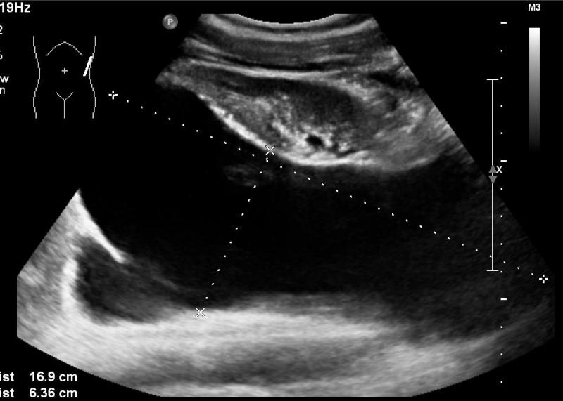
Pacjentka została przyjęta do Szpitala, wykonano nieskuteczną próbę odgłobienia wlewem wodnym pod kontrolą USG (biała strzałka - wgłobienie, pomarańczowe strzałki - płyn w jelicie grubym). Pacjentka operowana - stwierdzono wgłobienie patologiczne, z uchyłkiem Meckela jako punktem prowadzącym.
Pytanie: W jaki wieku typowo występuje wgłobienie krętniczo-kątnicze? Kiedy powinniśmy podejrzewać dodatkową patologię - puntk prowadzący, np. uchyłek Meckela?


