Zakład Radiologii Pediatrycznej

5-latek z gorączką i bólem brzucha

Przypadek 27: 5-letni pacjent zgłosił się do IP z powodu gorączki i bólu brzucha.

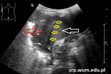
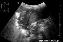
Rozpoznanie: W wykonanym badaniu USG jamy brzusznej stwierdzono masywne zmiany zapalne u podstawy płuca lewego, od tyłu; bez płynu w jamie opłucnowej. Czerwona strzałka - duży obszar bezpowietrznego miąższu płucnego u podstawy płuca lewego, żółte strzałki - przepona, biała strzałka - śledziona.

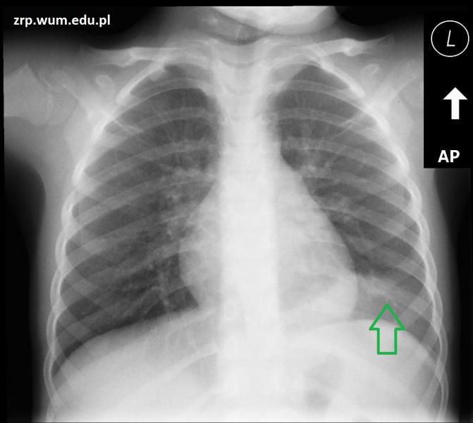
Rozpoznanie potwierdzono w badaniu RTG klatki piersiowej - zagęszczenia miąższowe w nadprzeponowej części płuca lewego, od tyłu (zielona strzałka).

Pytanie: Jaka jest rola ultrasonografii w diagnostyce i monitorowaniu zapalenia płuc u dzieci?