Zakład Radiologii Pediatrycznej

4-miesięczny pacjent z nieprawidłowym zapisem EKG

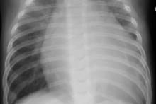
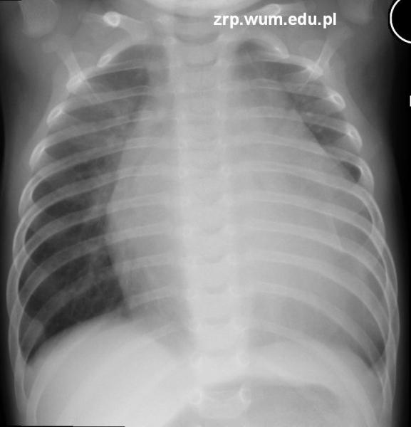
Przypadek 25: 4-miesięczny pacjent przyjęty do diagnostyki braku przyrostu masy ciała, z nieprawidłowym zapisem EKG i cichymi tonami serca.

Rozpoznanie: W badaniu RTG klatki piersiowej stwierdzono znaczne powiększenie całej sylwetki serca (wskaźnik sercowo-płucny 0,75).

Pytanie: Kiedy mówimy o powiększeniu sylwetki serca? Wymień przyczyny powiększenia sylwetki serca u dzieci.