Zakład Radiologii Pediatrycznej

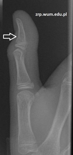
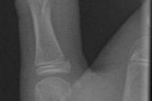
11-letni pacjent po urazie palca I-go ręki prawej

Przypadek 24: 11-letni pacjent po urazie palca I-go ręki prawej.

Rozpoznanie: W badaniu RTG stwierdzono złamanie przynasady bliższej paliczka dystalnego - ugięcie warstwy korowej od strony grzbietowej (strzałka).