Zakład Radiologii Pediatrycznej

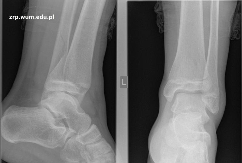
13-letnia dziewczynka po urazie stawu skokowego lewego

Przypadek 22: 13-letnia dziewczynka spadła z deskorolki. Utrzymuje się duży obrzęk oraz ból lewego stawu skokowego.

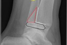
Rozpoznanie: W badaniu RTG - złuszczenie nasady dalszej kości piszczelowej lewej (czarne linie), z oderwaniem klinowatego fragmentu kostnego (czerwone linie) od tylnej części przynasady (białe linie). Złamanie kości strzałkowej (żółta strzałka).

Pytanie: Jakiego typu złamanie nazywamy złuszczeniem? Jakie są odrębności złamań u dzieci?