Zakład Radiologii Pediatrycznej

3-miesięczny chłopiec po zakażeniu układu moczowego

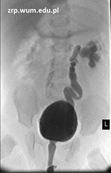
Przypadek 17: 3-miesięczny chłopiec po przebytym zakażeniu układu moczowego, zgłosił się do dalszej diagnostyki.

Rozpoznanie: W wykonanym badaniu cystografii mikcyjnej - pęcherz moczowy o zarysach gładkich. Cewka moczowa prawidłowa. Uwidoczniono obustronne odpływy czynne - po stronie prawej II stopień, po lewej III/IV stopień.

W badaniu usg stwierdzono cechy zdwojenia UKM nerki lewej (strzałki), z niewielkim poszerzeniem dolnego układu (pomiary).

Pytanie: Jakie są wskazania do cystografii mikcyjnej? Czy badanie usg może zastąpić cystografię mikcyjną w diagnostyce odpływów pęcherzowo-moczowodowych?