Zakład Radiologii Pediatrycznej

14-latek z bólem brzucha w prawym dole biodrowym

Przypadek 16: 14-latek zgłosił się na IP z powodu bólu brzucha w prawym dole biodrowym.

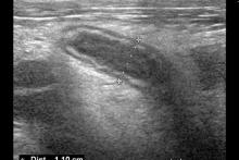
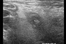
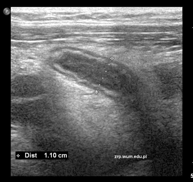
Rozpoznanie: W badaniu USG - W prawym dole biodrowym widoczny zmieniony zapalnie wyrostek robaczkowy, pogrubiały do 11mm, z kamieniem kałowym śr. ok. 4mm; tkanka tłuszczowa w otoczeniu pogrubiała, hyperechogeniczna.

Pytanie: Jaka jest diagnostyka róznicowa bólu brzucha w prawym dole biodrowym u dzieci?