Zakład Radiologii Pediatrycznej

16-latek ze zdwojeniem układu kielichowo-miedniczkowego nerki lewej

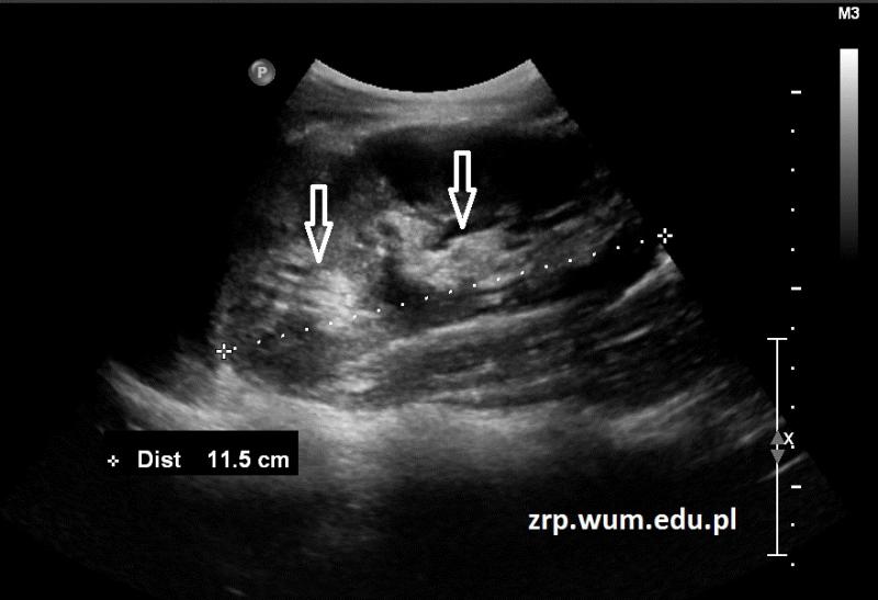
Przypadek 15: 16-latek ze stwierdzonymi w badaniu usg cechami zdwojenia układu kielichowo-miedniczkowego nerki lewej.

Rozpoznanie: W badaniu usg stwierdzono w nerce lewej dwa echa centralne (strzałki) z widocznym między nimi miąższem nerkowym. Bez poszerzenia UKM.

Pytanie: Zdwojenie UKM występuje stosunkowo często. W jakich przypadkach wymaga dalszej diagnostyki?