Zakład Radiologii Pediatrycznej

4,5-letni chłopiec z podejrzeniem prawostronnego zapalenia płuc

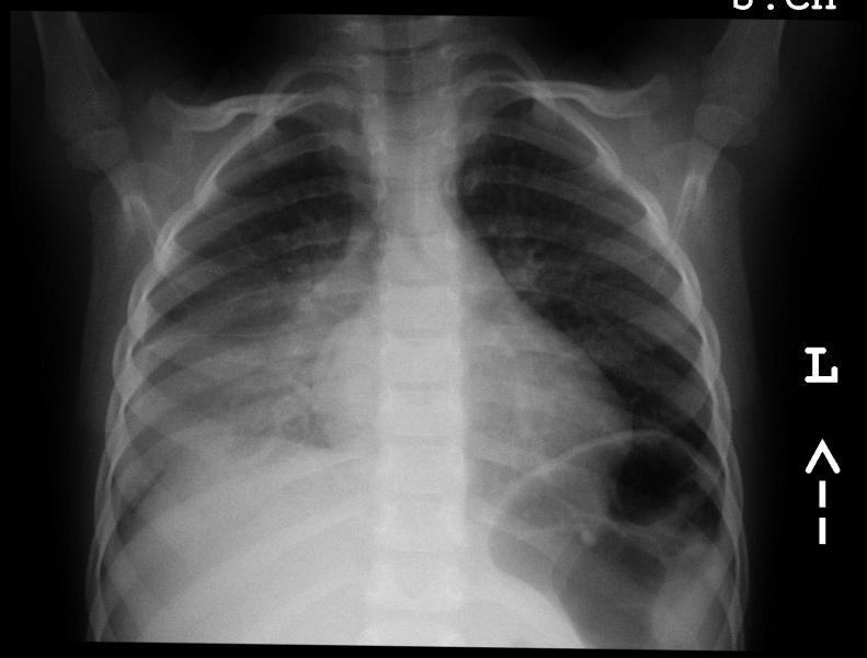
Przypadek 14: 4,5-letni chłopiec skierowany z POZ z podejrzeniem prawostronnego zapalenia płuc. W wywiadzie narastająca gorączka od 4 dni. W badaniu przedmiotowym stwierdzono stłumienie odgłosu opukowego i ściszenie szmeru pęcherzykowego po stronie prawej, oraz wysokie wykładniki stanu zapalnego w badaniach laboratoryjnych.

Rozpoznanie: W badaniu RTG klatki piersiowej stwierdzono zagęszczenia miąższowe w polu środkowym i dolnym płuca prawego z towarzyszącym płynem w prawej jamie opłucnej (warstwa przy bocznej ścianie w dole płuca). Płuco lewe bez zagęszczeń, lewa jama opłucnowa wolna.