Zakład Radiologii Pediatrycznej

4-letni pacjent z podejrzeniem aspiracji ciała obcego do dróg oddechowych

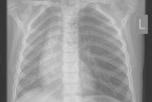
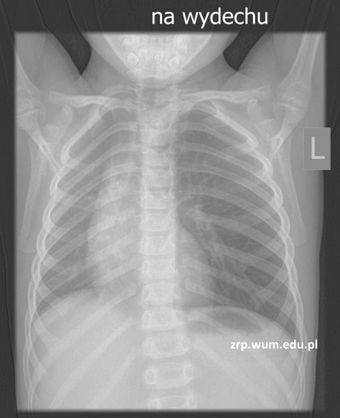
Przypadek 13: 4-letni pacjent z podejrzeniem aspiracji ciała obcego do dróg oddechowych, stan po zakrztuszeniu się marchewką.

Rozpoznanie: W badaniu RTG klatki piersiowej wykonanym standardowo, na wdechu - bez zmian, cieniującego ciała obcego nie uwidoczniono. Dodatkowe zdjęcie wykonane na wydechu uwidoczniło masywne rozdęcie lewego płuca z przemieszczeniem śródpiersia na stronę prawą - cechy RTG pułapki powietrznej, pośredni objaw obecności ciała obcego powodującego niedrożność lewego oskrzela. Pacjent skierowany na bronchoskopię.

Pytanie: Jakie są cechy obecności niecieniującego ciała obcego w drogach oddechowych na zdjęciu RTG klatki piersiowej? W jaki sposób wykonuje się zdjęcie "na wydechu" u pacjentów niewspółpracujących (np. u niemowląt)?