Jesteś tutaj
Studenckie Forum Radiologii Pediatrycznej - 18-miesięczny chłopiec po operacji przepukliny przeponowej lewostronnej. Badanie kontrolne.
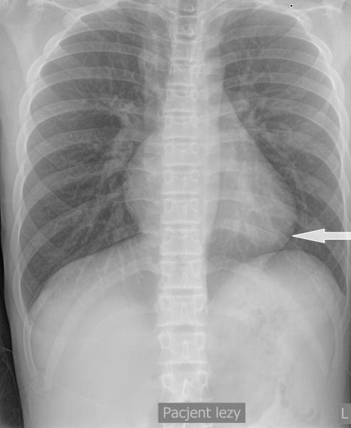
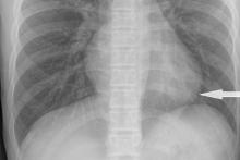
Przypadek 44: U 18-miesięcznego chłopca po operacji przepukliny przeponowej lewostronnej (operacja przeprowadzona po urodzeniu) wykonano kontrolne zdjęcie rtg klatki piersiowej.
Rozpoznanie: Na zdjęciu rtg klatki piersiowej, w okolicy nadprzeponowej po stronie lewej, rzutuje się owalna przestrzeń powietrzna - pętla jelitowa w klatce piersiowej? Podejrzenie nawrotu przepukliny.
Wysłane przez Przemysław Bombiński w sob., 27/02/2016 - 16:28

