Zakład Radiologii Pediatrycznej

2-letnia dziewczynka, po upadku z fotelika na rowerze

Przypadek 11: 2-letnia dziewczynka, siedziała zapięta w foteliku na rowerze. Rower upadł razem z pacjentką, dziewczynka nie miała kasku. Nie straciła przytomności. Po urazie kilkakrotnie wymiotowała. Badanie TK głowy.

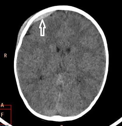
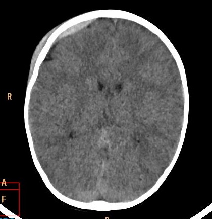
Rozpoznanie: W tomografii komputerowej uwidoczniono krwiak nadtwardówkowy o wym. ok. 40x6mm w prawej okolicy czołowej. Poza tym mózgowie bez widocznych zmian ogniskowych w badaniu jednofazowym, bez cech uogólnionego obrzęku. Struktury pośrodkowe nieprzemieszczone.Kości czaszki bez zmian pourazowych.
Pacjentka przeniesiona na oddział neurochirurgii.

Pytanie: Jakie są wskazania do wykonania tomografii komputerowej u dziecka po urazie? Czy i w jakich sytuacjach wykonujemy zdjęcie rtg czaszki?