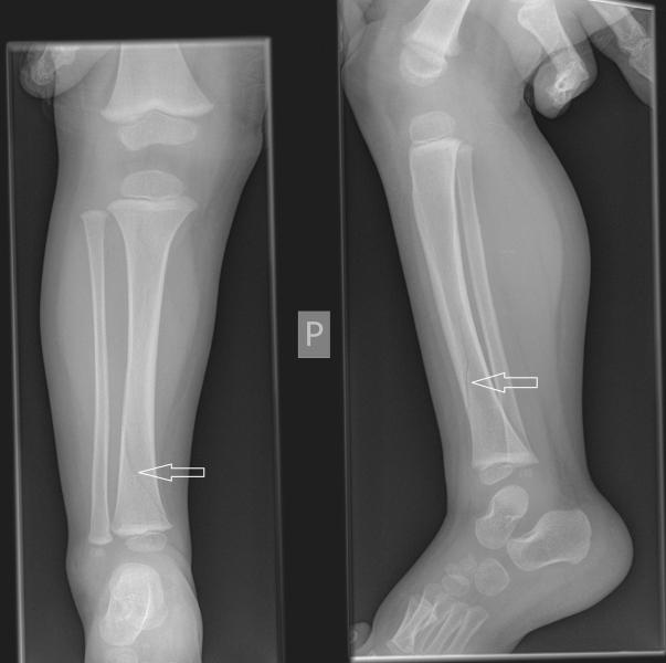
Zakład Radiologii Pediatrycznej

2-letni chłopiec po urazie kończyny dolnej prawej

Przypadek 10: 2-letni chłopiec, upadł i gwałtownie skręcił prawą nogę. Obecnie skarży się na ból okolicy stawu skokowego, nie chce chodzić.

Rozpoznanie: Spiralne złamanie dystalnego odcinka prawej kości piszczelowej, bez przemieszczenia.