Zakład Radiologii Pediatrycznej

14-latka z bólami brzucha w nadbrzuszu.

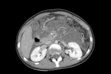
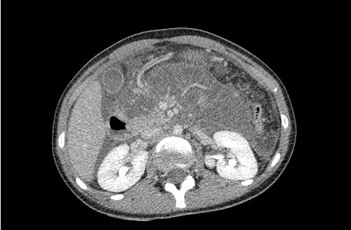
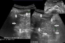
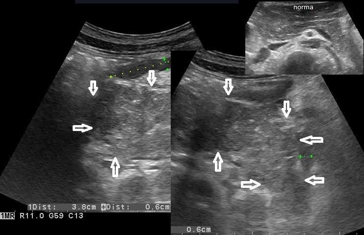
Przypadek 6: 14-latka skierowana z Izby Przyjęć z powodu bólu brzucha w nadbrzuszu.

Rozpoznanie: W badaniu usg - trzustka pogrubiała, obrzęknięta (strzałki), przewód trzustkowy nieposzerzony (dla porównania na zdjęciu w górnym prawym rogu - prawidłowa trzustka u innego pacjenta). W badaniu TK (poniżej) - trzustka powiększona, niejednorodna, słabo odgraniczona od otoczenia, po podaniu kontrastu jedynie głowa fragmentarycznie na wysokości wyrostka haczykowatego ulega wzmocnieniu kontrastowemu, pozostały miąższ trzustki pozostaje hypodensyjny. Obraz ostrego martwiczego zapalenia trzustki.