Zakład Radiologii Pediatrycznej

2-miesięczny chłopiec z chlustającymi wymiotami.

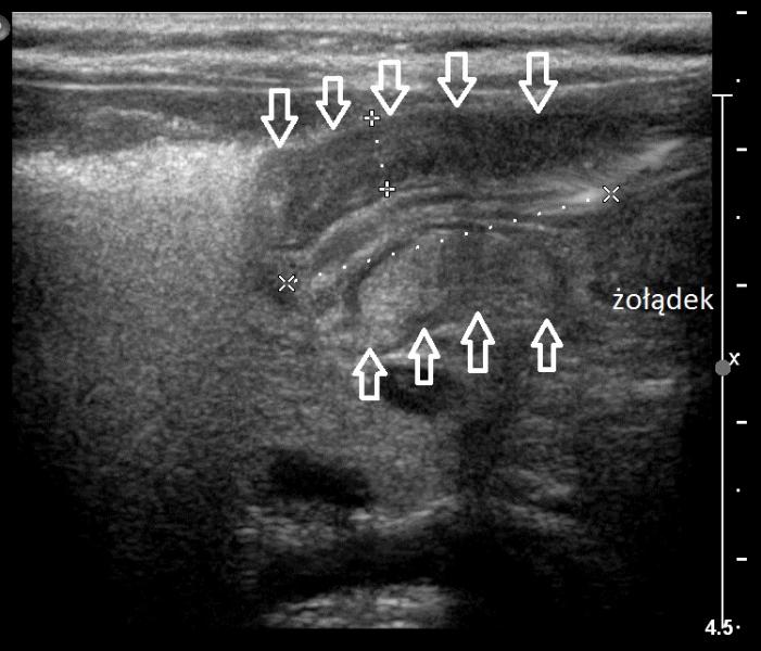
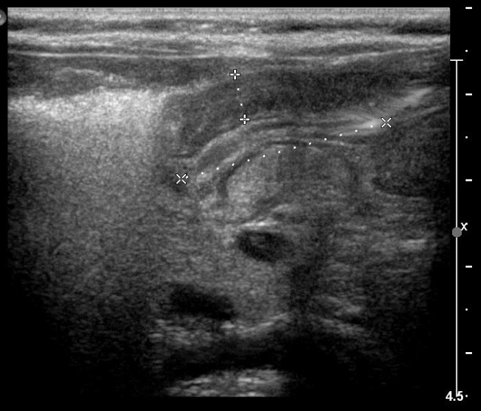
Przypadek 5: 2-miesięczny chłopiec z chlustającymi wymiotami.

Rozpoznanie: W badaniu usg - pogrubiała mięśniówka odźwernika, kanał odźwiernika szczelinowaty. Przerostowe zwężenie odźwiernika (pylorostenoza).