Zakład Radiologii Pediatrycznej

11-letni chłopiec z podejrzeniem niedrożności przewodu

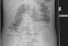
Przypadek 4: 11-letni chłopiec z napadowymi bólami brzucha od 3 tygodni, z wielokrotnymi wymiotami. Pacjent ani rodzice nie potrafili określić kiedy było ostatnie wypróżnienie. Podejrzenie niedrożności przewodu pokarmowego.

Rozpoznanie: Liczne poziomy płynu w dystalnych pętlach jelita cienkiego oraz w miernie rozdętym jelicie grubym do wysokości zstępnicy, brak powietrza w rzucie odbytnicy - cechy niedrożności. Bez cech perforacji.