Zakład Radiologii Pediatrycznej

5-letnia dziewczynka po upadku z hulajnogi

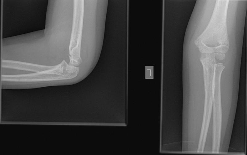
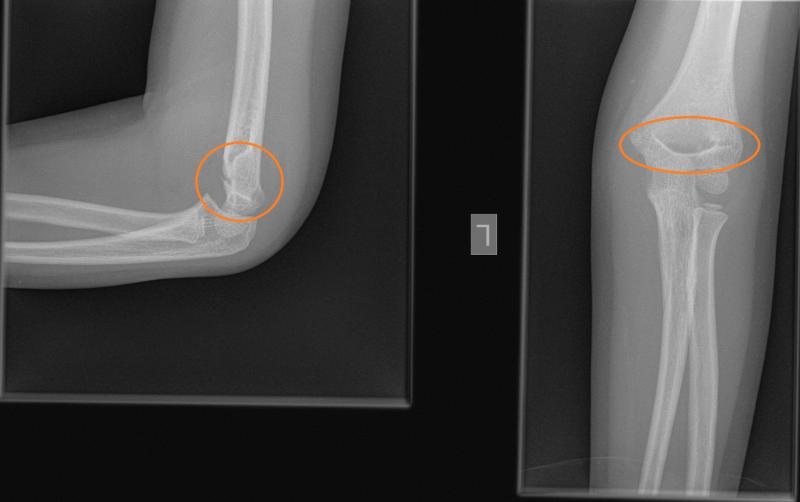
Przypadek 2: 5-letnia dziewczynka po upadku z hulajnogi. Obrzęk i bolesność lewego stawu łokciowego.

Rozpoznanie: Złamanie nadkłykciowe lewej kości ramiennej.