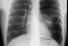
Przypadek 1: 16-latek z bólami w klatce piersiowej. Rozpoznanie: Odma opłucnowa lewostronna. Niedodma płuca lewego.